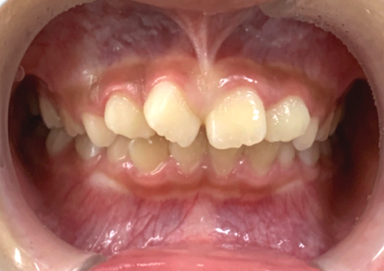
前歯のガタガタが気になる(叢生/アクティビティ+インビザライン矯正/こどもの矯正)
|
治療前
![]() |
治療後
|
相談内容(主訴) |
前歯のガタガタが気になる |
診断結果/行った治療内容 |
叢生/アクティビティ+インビザライン矯正 |
治療期間/回数 |
1.5年/18回 |
治療費用 |
50万円(マイオブレイス+インビザライン)+アクティビティ 月一5500円 |
治療のリスク/副作用 |
原則の装着時間を守らないと効果が出ません/まれに顎関節に症状が出ることがあります |



